X
جديد الموقع
حزب الله يهنئ الشعب الفلسطيني على كسر قيود الاحتلال عن المسجد الأقصى المبارك
حزب الله: ما قام به أبناء عائلة الجبارين في القدس درس لأحرار الأمة..
الإمام الخامنئي: الجرائم بحق الشعب الايراني لن تزيده إلا كرهاً للادارة الأميركية وأذنابها بالمنطقة كالسعودية
بيان صادر عن حزب الله تعليقاً على اقتحام النظام البحراني لمنزل آية الله الشيخ عيسى قاسم
حزب الله يدين بأشد العبارات : الحكم ضد آية الله الشيخ عيسى قاسم جريمة
السيد حسن نصر الله يهنئ الشيخ روحاني بإعادة انتخابه رئيسا للجمهورية الاسلامية

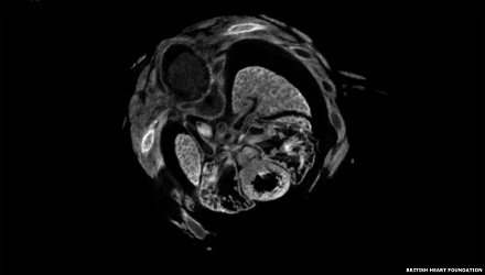
مختارات :: بالصور: القلب كما يراه الأطباء

img

"القلب كما يراه الأطباء"، مجموعة من الصور اخترناها لكم من موقع BBC arabic، بعدما نشرها مجموعة من العلماء البريطانيين، وهي تظهر لقطات مدهشة للقلب وأوعيته الدموية..

الصورة الأولى: نشر العلماء في بريطانيا صورا ولقطات فيديو من بحوثهم. وتظهر الصور لقطات مدهشة للقلب وأوعيته الدموية. الصورة الفائزة "قلب مفطور" للدكتورة جيليان غاري، وميغان سويم، وهاريس موريسون، من جامعة إدنبره تبين تركيب القلب من الداخل.

 

 

الصورة الثانية: أما جائزة البراعة فكانت من نصيب دكتورة جانا كوث من جامعة أكسفورد، لهذا المقطع الأمامي لقلب حمار وحشي عمره يومان ولايزال في مرحلة النمو. الخلايا الخضراء تمثل عضلات القلب، أما الحمراء والزرقاء فتظهر المكونات التي تشكل العضلات.

 

 

الصورة الثالثة: هذه صورة لنواة خلية واحدة من خلايا العضلات الملساء في الأوعية الدموية على شكل قلب للدكتور أندرو كوب، من كلية كينغز كوليدج في لندن. هذه الخلايا تساعد في منح الأوعية الدموية شكلها المعروف. البقع الخضراء تظهر مناطق متعددة من الحامض النووي المدمر وهذا ما يفسر شكلها الغريب.

 

 

الصورة الرابعة: حازت هذه الصورة على أكثر التعليقات، وهي للدكتور وليام مودي من جامعة برمنغهام، وهي صورة قلب لمتبرع بكليته. المسح الضوئي يلتقط أي تغير في حالة القلب عقب التبرع. وهذه التغييرات يمكن علاجها بالأدوية.

 

 

الصورة الخامسة: وحظيت أيضا صورة دكتور يشوان وين ودكتور ديفيد ليك من جامعة ريدنغ بعدد كبير من التعليقات على دراستهما للكوليسترول. وتظهر الصورة خلية مناعية توجد في شرايين من يعانون من تصلب الشرايين. البقع البيضاء تبين الكوليسترول وقد أمسكت به خلايا مناعية. وهذا الكوليسترول قد تغيره الخلية فينتج آثارا جانبية ضارة تؤدي إلى نوبة قلبية أو جلطة.

 

 

الصورة السادسة: أما الفيديو الفائز فقد أنتجه فريق في كلية كينغز كولديج في لندن، وهو يظهر قلبا متقاطعا، وهي حالة تصيب بعض الناس منذ الولادة. وفيها بدلا من أن يصب الدم من الأذين الأعلى إلى البطين الأسفل يتجه عكس الاتجاه. وهذه التكنولوجيا قد تساعد في تحسين فهمنا لهذه الحالة المعقدة.

 

 

الصورة السابعة: كما نال فيديو "السفر عبر قلب جنين، للدكتور دانيال ديلغ من جامعة لندن تعليقات كثيرة، وهو يظهر نمو القلب والرئتين في مقطع واحد بالنظر من أعلى، ثم يتبع ذلك قلب مصاب بفتحة في الجدار الفاصل بين جزئيه الأعلى والأسفل. والفهم الأفضل لمثل تلك الحالة قد يؤدي إلى اكتشاف سبل لمنعها.

 

 

الصورة الثامنة: فيديو آخر نال الكثير من التعليقات، ويظهر ماذا يحدث في قلب فأر، عقب إصابته بنوبة قلبية. وهذا الفيديو جزء من بحث يجريه دكتوره جيليان غاري، وميغان سويم، وهاريس موريسون. "نري في الفيديو العضلات الصحيحة في منطقة من الجزء الأسفل من القلب وقد حل محلها أنسجة جرح غير مرنة، لكن إمداد الدم يستمر، ويعطي هذا أملا في إصلاح القلب حتى بعد النوبة القلبية.

 

 

الصورة التاسعة: دكتورة ديان برودفوت، ودكتوره يانا دوتوفا يركزان على تحسين فهمنا للكيفية التي تساعد بها الخلايا العضلية الملساء في إزاحة الخلايا الميتة في الأوعية الدموية المريضة. ويظهر الفيديو أوعية دموية في البشر وهي تحيط بجاراتها الميتة.

 

 

 

 

 

تعليقات الزوار


مواقيت الصلاة

بتوقيت بيروت

الفجر
5:35
الشروق
6:47
الظهر
12:22
العصر
15:31
المغرب
18:14
العشاء
19:05